Nouveau cas clinique réel et authentique
Dyspnée aiguë : réalisez une échographie pulmonaire pour différencier pneumopathie et OAP
Chaque mois, je vous partage un cas clinique issu directement de ma consultation de médecine générale afin d'entraîner votre raisonnement diagnostique à partir d’images réelles, d’un contexte crédible et d’une analyse directement exploitable dans votre quotidien.

2500+
Médecins généralistes formés

70h+
De cours en vidéo basés sur des données rigoureuses

200+
Cas cliniques réels et authentiques

30 jours
Garantie satisfait ou remboursé
Une dyspnée aiguë
Un patient âgé de 88 ans est amené par sa famille pour une dyspnée évolutive depuis 7 jours, associée à une altération de l’état général.
En consultation, le patient est polypnéique. Le contexte impose d’aller vite… et pourtant, l’examen clinique reste relativement peu marqué au regard de la situation:
Vous notez des oedèmes modérés des membres inférieurs, un reflux hépato-jugulaire et surtout une diminution du murmure vésiculaire à droite avec foyer de crépitants.
A gauche son examen est sans particularité, à peine quelque discret crépitants.
Ses constantes sont correctes avec saturation 97%, TA 138/88 et pouls à 65 bpm.
Et c’est là que tout bascule.
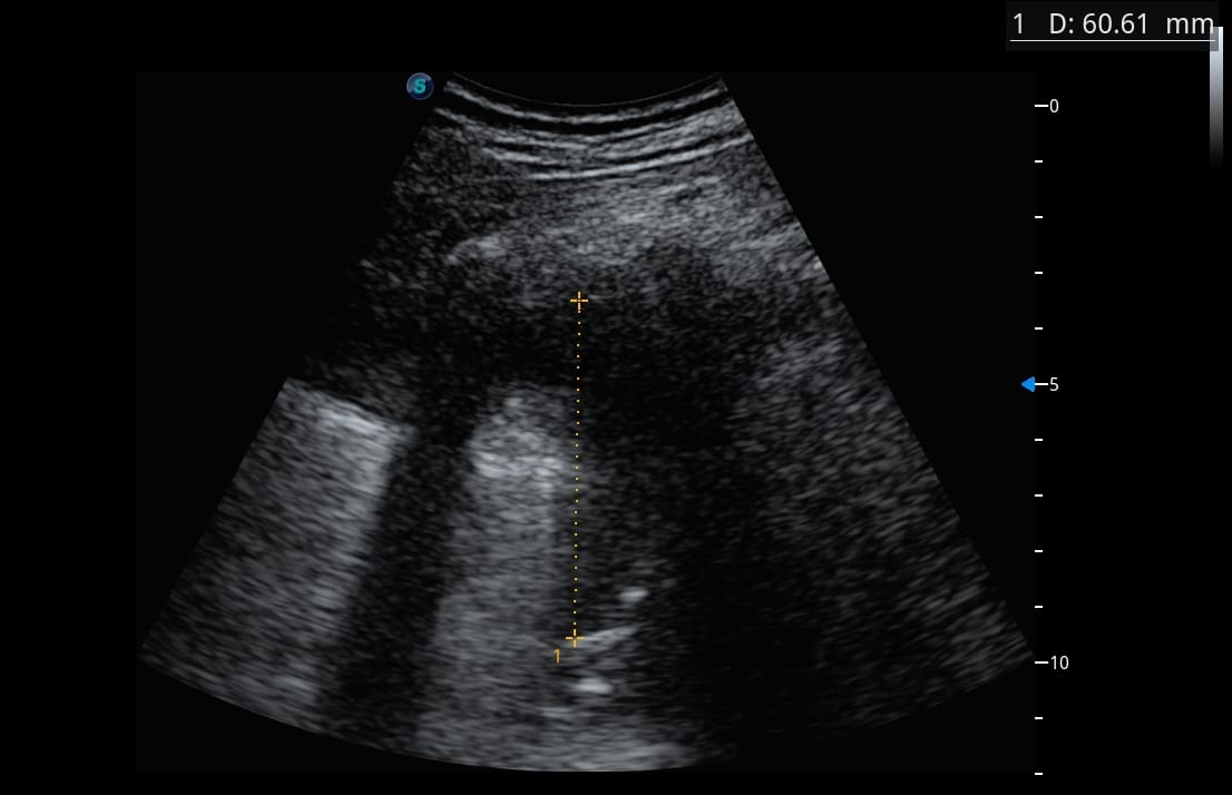
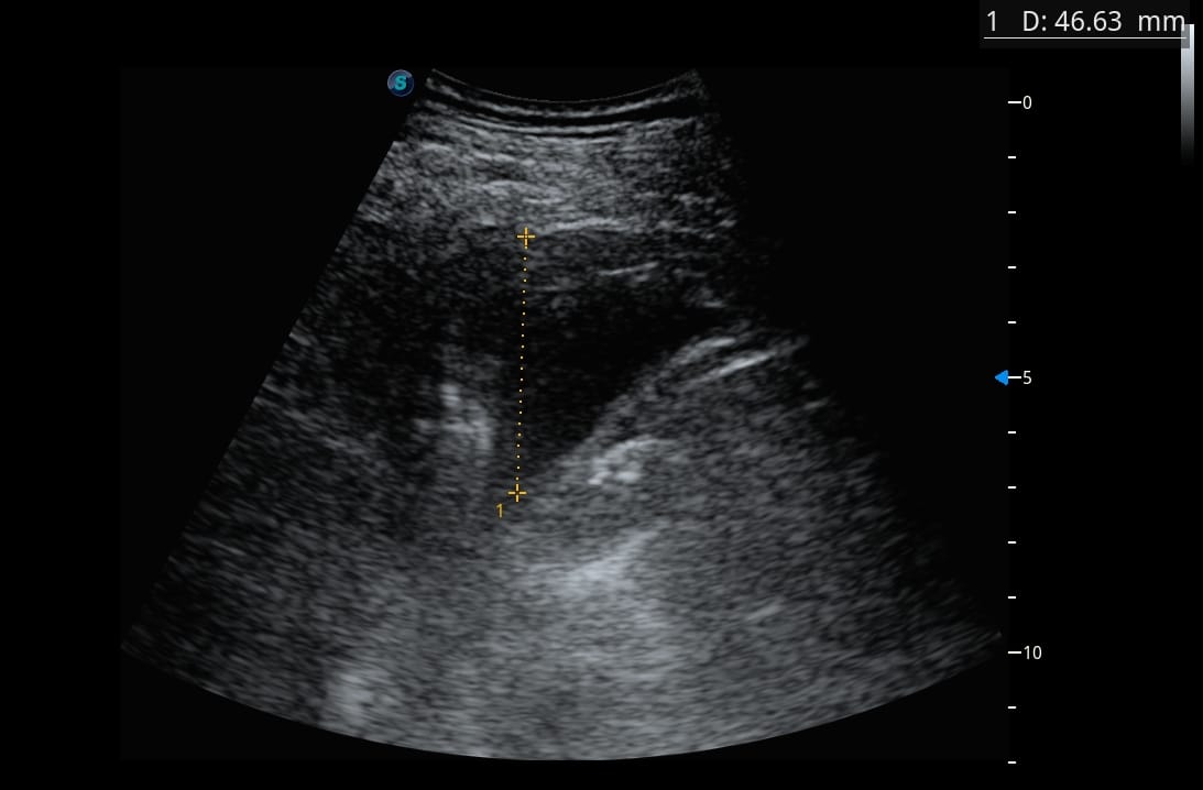
L’échographie pulmonaire va révéler des anomalies très marquées, en net décalage avec la clinique… avec des images particulièrement surprenantes du côté gauche.
👉 Une situation typique où l’échographie va beaucoup plus loin que l’examen clinique, et change complètement la compréhension du tableau.
Je ne vous en dis pas plus.
A droite
A gauche
Faites travailler votre œil et votre raisonnement avant la correction.
Quel est votre diagnostic ?
Analysez les images, repérez les éléments discriminants, puis confrontez votre hypothèse au raisonnement détaillé ci-dessous.
4,9 / 5

Note moyenne des élèves
97%

Déclarent une progression rapide
90%

De mise en pratique concrète
Analyse complète
La vidéo d’étude du cas
Pourquoi me rejoindre sur Echomap?
Ne regardez pas seulement des images. Apprenez à décider avec elles.
Les cas cliniques du mois ne sont qu’une porte d’entrée. La plateforme Echomap a été pensée pour aider les médecins généralistes à gagner en certitude diagnostique, en confiance face aux patients et en efficacité réelle au cabinet.
Une pédagogie pensée pour le terrain
Des explications claires, des repères anatomiques utiles, des démonstrations réellement applicables en cabinet.
Des cas réels pour progresser vite
Vous ne mémorisez pas seulement des images. Vous apprenez à raisonner, comparer, décider.
Une formation construite pour la médecine générale
Contenus ciblés, temps optimisé, bénéfices concrets pour votre pratique quotidienne.
Passez du cas isolé à une progression structurée
Accès à tous les modules, nouveaux cas cliniques tous les mois, démonstrations pratiques, modèles de comptes rendus, bonus et mises à jour régulières.
Un cas clinique peut éveiller votre curiosité.
Une méthode structurée peut transformer votre pratique.
Rejoignez une formation conçue par un médecin généraliste pour des praticiens exigeants, avec des contenus directement utiles, des cas réels et une pédagogie reproductible.


