Nouveau cas clinique réel et authentique
Un cas concret, imprévu, qui illustre parfaitement l’intérêt de l’échographie immédiate et intégrée à la consultation.
Chaque mois, je vous partage un cas clinique issu directement de ma consultation de médecine générale afin d'entraîner votre raisonnement diagnostique à partir d’images réelles, d’un contexte crédible et d’une analyse directement exploitable dans votre quotidien.

2500+
Médecins généralistes formés

70h+
De cours en vidéo basés sur des données rigoureuses

200+
Cas cliniques réels et authentiques

30 jours
Garantie satisfait ou remboursé
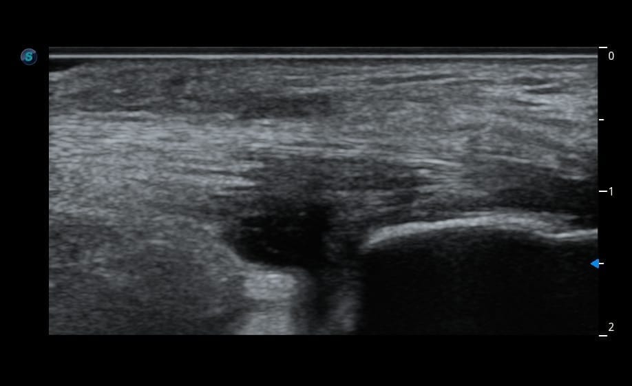
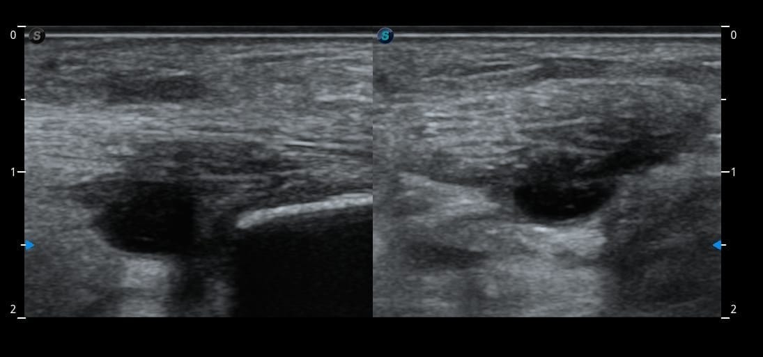
Une cheville en urgence
Une patiente d’une quarantaine d’années, bien connue du cabinet, se présente pour un document administratif concernant son père grabataire.
Mais dès son arrivée, un détail saute aux yeux : elle boîte de façon très marquée.
À l’examen, sa cheville est impossible à mobiliser tant elle est douloureuse. Elle m’explique que la douleur dure depuis plusieurs semaines, mais qu’elle n’a pas eu le temps de consulter en raison de la situation de son père.
Je décide donc de réaliser immédiatement une échographie musculo-squelettique en urgence de sa cheville, en parallèle de la gestion administrative de son père.
Résultat : des images surprenantes du tendon d’Achille chez une patiente jeune, qui font de ce cas une situation particulièrement intéressante à analyser.
Faites travailler votre œil et votre raisonnement avant la correction.
Quel est votre diagnostic ?
Analysez les images, repérez les éléments discriminants, puis confrontez votre hypothèse au raisonnement détaillé.

2500+
Médecins généralistes formés

70h+
De cours en vidéo basés sur des données rigoureuses

200+
Cas cliniques réels et authentiques

30 jours
Garantie satisfait ou remboursé
POURQUOI ECHOMAP ?
Parce que l’échographie doit rester utile, claire et directement exploitable.
Echomap est née d’un constat simple : beaucoup de praticiens veulent se former, mais se heurtent à des contenus trop dispersés, trop théoriques ou insuffisamment orientés cabinet.
✅ Des connaissances immédiatement utilisables en consultation
✅ Des démonstrations pratiques et des exercices progressifs
✅ Des modèles de compte-rendu pour gagner du temps en pratique
Ma manière d’enseigner
J’ai toujours aimé transmettre.
Très tôt, j’ai été attiré par l’idée d’un enseignement proche du compagnonnage : partager les bons repères, les bons réflexes, les astuces de terrain et les erreurs à éviter.
L’échographie clinique représente pour moi l’union naturelle entre la clinique, l’anatomie et la décision médicale en temps réel.
C’est cet outil concret, vivant et passionnant que j’ai voulu rendre plus accessible aux médecins qui veulent progresser sérieusement.
Mon engagement est simple : proposer une formation exigeante sur le fond, claire sur la forme, et suffisamment pratique pour être réellement utile au cabinet, face à vos patients.
Une pédagogie structurée pour apprendre vraiment
La plateforme ne repose pas sur une accumulation de vidéos. Elle suit une logique progressive, conçue pour faire monter en compétence de manière concrète et durable.

Comprendre
Bases solides, raisonnement clinique, repères anatomiques et compréhension de l’image.

Reproduire
Démonstrations au lit du malade, exercices progressifs, protocoles reproductibles, astuces concrètes.

Appliquer
Cas cliniques réels, comptes-rendus type, bonus, communauté, mises à jour régulières.
Ce que vous pouvez attendre de moi
✅ Des contenus sérieux et rigoureux
Des cours construits sur des données scientifiques rigoureuses et une expérience clinique réelle.
✅ Une plateforme vivante
De nouveaux cas cliniques chaque semaine, de nouveaux modules plusieurs fois par an, des compléments réguliers.
✅ Un cadre rassurant
Garantie 30 jours, certificat nominatif par module terminé, facture détaillée, accès multi-supports.
EN PRATIQUE
Une formation conçue pour les professionnels exigeants
Accès illimité à tous les modules pendant l’abonnement.
Chaque formation pensée pour la médecine générale, avec uniquement du concret directement applicable dans votre cabinet.
Des exercices progressifs à faire chez vous, des démonstrations pratiques, des cas authentiques issus de la pratique en consultation, du nouveau chaque semaine et surtout une communauté motivée et dynamique.
Une approche compatible avec vos contraintes de temps et votre rythme de praticien.
Rejoignez une formation conçue pour améliorer réellement votre pratique
Si vous cherchez une formation sérieuse, structurée, progressive et utile au quotidien, Echomap a été pensée pour vous.

2026 © Dr RANDON Nicolas - ECHOMAP - All Rights Reserved
SAS INOVIA - 128 rue la Boétie 75008 Paris 8 FRANCE
SIRET 87811355400017
contact@echomap.fr